68 Yaşındaki Hasta Burdur Devlet Hastanesi’nde Sağlığına Kavuştu
68 Yaşındaki Hasta Burdur Devlet Hastanesi’nde Sağlığına Kavuştu
Burdur Devlet Hastanesi’nde Kalp ve Damar Cerrahisi Uzmanı Dr. Tarık Taştekin ve ekibi, 68 yaşındaki bir hastada karın aort anevrizmasını (karın ana atardamarındaki genişleme) endovasküler yöntemle (EVAR) başarılı bir şekilde tedavi ederek bir ilke imza attı.
Haber Giriş Tarihi: 25.06.2025 15:42
Haber Güncellenme Tarihi: 25.06.2025 15:44
Kaynak:
Seher Özer
Bu önemli operasyon, Burdur’da ilk kez gerçekleştirilen bir EVAR vakası olması nedeniyle önemli olduğu belirtildi.
Konuyla ilgili olarak Burdur Devlet Hastanesi tarafından yapılan açıklamada; “Burdur Devlet Hastanemizde, Kalp ve Damar Cerrahisi Uzmanı Dr. Tarık TAŞTEKİN ve ekibi, 68 yaşındaki bir hastada karın aort anevrizmasını (karın ana atardamarındaki genişleme) endovasküler yöntemle (EVAR) başarılı bir şekilde tedavi ederek bir ilke imza attı. Bu önemli operasyon, İlimizde ilk kez gerçekleştirilen bir EVAR vakası olması nedeniyle önemlidir.
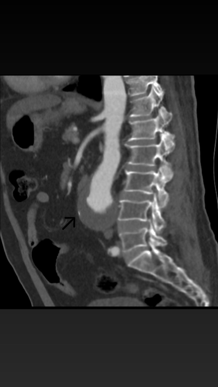
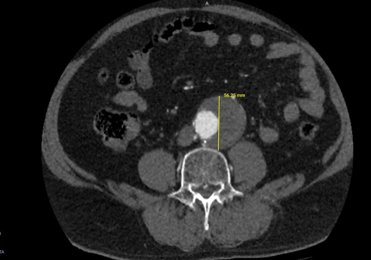
Karın aort anevrizması, vücudun en büyük atardamarı olan aortun karın bölgesindeki kısmının anormal şekilde genişlemesidir. Kontrol altına alınmadığında, bu genişleme yırtılma (diseksiyon) riskini beraberinde getirir ki bu da hayati tehlike taşıyan bir durumdur. Hastanın aort damarındaki genişlemenin 56 mm'ye ulaşması üzerine, bu potansiyel patlama riskini ortadan kaldırmak amacıyla EVAR prosedürü uygulandı.
Ameliyat, hastanın kasıklarından yapılan küçük kesiler aracılığıyla gerçekleştirildi. Bu minimal invaziv yöntemle, balonlaşan damarın içine özel bir greft kaplı stent yerleştirilerek, anevrizmatik bölge izole edildi ve damarın normal çapına dönmesi sağlandı.
Burdur Devlet Hastanemizde bu tür ileri düzey bir vakanın başarıyla tamamlanması, hastanemizin tıbbi kapasitesinin ve cerrahi uzmanlığının önemli bir göstergesidir. Bu gelişme, İlimizdeki hastaların benzer sağlık sorunları için çevre illere gitmek zorunda kalmadan, kendi şehirlerinde modern ve etkili tedavi yöntemlerine erişebilmeleri açısından da büyük önem taşıyor. Hastamıza şifalar diler, kıymetli çalışanlarımıza teşekkür ederiz” denildi.
Sizlere daha iyi hizmet sunabilmek adına sitemizde çerez konumlandırmaktayız. Kişisel verileriniz, KVKK ve GDPR
kapsamında toplanıp işlenir. Sitemizi kullanarak, çerezleri kullanmamızı kabul etmiş olacaksınız.
En son gelişmelerden anında haberdar olmak için 'İZİN VER' butonuna tıklayınız.
68 Yaşındaki Hasta Burdur Devlet Hastanesi’nde Sağlığına Kavuştu
Burdur Devlet Hastanesi’nde Kalp ve Damar Cerrahisi Uzmanı Dr. Tarık Taştekin ve ekibi, 68 yaşındaki bir hastada karın aort anevrizmasını (karın ana atardamarındaki genişleme) endovasküler yöntemle (EVAR) başarılı bir şekilde tedavi ederek bir ilke imza attı.
Bu önemli operasyon, Burdur’da ilk kez gerçekleştirilen bir EVAR vakası olması nedeniyle önemli olduğu belirtildi.
Konuyla ilgili olarak Burdur Devlet Hastanesi tarafından yapılan açıklamada; “Burdur Devlet Hastanemizde, Kalp ve Damar Cerrahisi Uzmanı Dr. Tarık TAŞTEKİN ve ekibi, 68 yaşındaki bir hastada karın aort anevrizmasını (karın ana atardamarındaki genişleme) endovasküler yöntemle (EVAR) başarılı bir şekilde tedavi ederek bir ilke imza attı. Bu önemli operasyon, İlimizde ilk kez gerçekleştirilen bir EVAR vakası olması nedeniyle önemlidir.
Karın aort anevrizması, vücudun en büyük atardamarı olan aortun karın bölgesindeki kısmının anormal şekilde genişlemesidir. Kontrol altına alınmadığında, bu genişleme yırtılma (diseksiyon) riskini beraberinde getirir ki bu da hayati tehlike taşıyan bir durumdur. Hastanın aort damarındaki genişlemenin 56 mm'ye ulaşması üzerine, bu potansiyel patlama riskini ortadan kaldırmak amacıyla EVAR prosedürü uygulandı.
Ameliyat, hastanın kasıklarından yapılan küçük kesiler aracılığıyla gerçekleştirildi. Bu minimal invaziv yöntemle, balonlaşan damarın içine özel bir greft kaplı stent yerleştirilerek, anevrizmatik bölge izole edildi ve damarın normal çapına dönmesi sağlandı.
Burdur Devlet Hastanemizde bu tür ileri düzey bir vakanın başarıyla tamamlanması, hastanemizin tıbbi kapasitesinin ve cerrahi uzmanlığının önemli bir göstergesidir. Bu gelişme, İlimizdeki hastaların benzer sağlık sorunları için çevre illere gitmek zorunda kalmadan, kendi şehirlerinde modern ve etkili tedavi yöntemlerine erişebilmeleri açısından da büyük önem taşıyor. Hastamıza şifalar diler, kıymetli çalışanlarımıza teşekkür ederiz” denildi.
Kaynak: Seher Özer
En Çok Okunan Haberler